호흡기 질환
"오늘의AI위키"의 AI를 통해 더욱 풍부하고 폭넓은 지식 경험을 누리세요.
1. 개요
호흡기 질환은 기도 및 폐에 발생하는 다양한 질병을 통칭하며, 감염, 알레르기, 환경적 요인, 유전적 요인 등 다양한 원인에 의해 발생한다. 만성 호흡기 질환, 상기도 질환, 하기도 질환, 폐혈관 질환, 종양, 흉막 질환, 신생아 호흡기 질환 등으로 분류되며, 폐쇄성 폐질환, 제한성 폐질환, 폐렴, 폐암 등이 대표적이다. 호흡기 질환은 전 세계적으로 사망과 질병의 주요 원인이며, 진단 및 치료 방법은 질환의 종류와 심각성에 따라 다르다.
더 읽어볼만한 페이지
- 질병 및 장애에 관한 - 야맹증
야맹증은 어두운 곳에서 시력 저하를 보이는 증상으로, 유전 질환, 비타민 A 결핍, 망막 질환, 약물 복용 등 다양한 원인으로 발생하며, 비타민 A 보충 등으로 치료한다. - 질병 및 장애에 관한 - 중독
중독은 유해 물질 노출로 신체적, 정신적 건강에 해로운 영향을 미치는 상태로, 급성·만성, 외인성·내인성으로 분류되며, 다양한 물질이 원인이 될 수 있으므로 예방을 위해 안전 수칙 준수와 응급 처치가 중요하다. - 호흡기 질환 - 천식
천식은 만성적인 기도 염증으로 쌕쌕거림, 호흡곤란, 가슴 답답함, 기침 등의 증상을 유발하며 유전적, 환경적 요인이 복합적으로 작용하여 발생하고, 폐활량 검사로 진단하며, 유발 요인 회피와 약물 요법으로 증상 조절 및 삶의 질 향상이 가능하다. - 호흡기 질환 - 알레르기
알레르기는 면역 체계가 무해한 물질에 과도하게 반응하여 아토피 피부염, 비염, 천식, 두드러기 등 다양한 증상을 일으키는 질환으로, Gell과 Coombs 분류법에 따라 여러 유형으로 나뉘며, 심각한 경우 아나필락시스를 유발할 수 있고, 유전적, 환경적 요인이 복합적으로 작용하여 발생하며, 알레르겐 회피, 약물, 면역요법 등으로 치료한다.
| 호흡기 질환 | |
|---|---|
| 호흡기 질환 | |
| 분야 | 호흡기내과 |
![]() | |
2. 호흡기 질환의 분류
호흡기 질환은 발생 부위, 원인, 병태 생리에 따라 다양하게 분류할 수 있다.
호흡기 질환은 감염 부위에 따라 크게 상기도감염과 하기도감염으로 나뉜다.[40][41]
병태 생리에 따라 폐쇄성 폐질환, 제한성 폐질환, 폐혈관 질환으로 분류할 수 있다.
천식, 만성 기관지염, 기관지확장증, 만성 폐쇄성 폐질환(COPD)은 기도 폐쇄를 특징으로 하는 폐쇄성 폐질환이다. 염증으로 인한 기관지 수축으로 허파꽈리에 도달하는 공기량이 제한된다. 폐활량 검사 등 폐 기능 검사로 진단하며, 집먼지진드기, 흡연 등 유발 요인 회피, 기관지확장제 등 증상 조절, 코르티코스테로이드를 이용한 염증 억제 등으로 관리한다. 폐기종, 만성 기관지염 등 COPD의 주요 원인은 담배 흡연이며, 기관지확장증의 흔한 원인에는 중증 감염, 낭포성 섬유증이 있다. 천식의 정확한 원인은 아직 밝혀지지 않았다.[4]
만성 호흡기 질환은 기도 및 폐 구조물의 장기 질환이다. 높은 염증 세포(호중구) 유입, 감염의 파괴적 순환(예: ''녹농균'' 매개)이 특징이다. 천식, COPD, 급성호흡곤란증후군 등이 흔하다. 대부분 치료가 불가능하지만, 기도 확장 및 숨가쁨 개선 치료로 증상 조절, 삶의 질 향상에 도움을 줄 수 있다.[7]
2. 1. 발생 부위에 따른 분류
호흡기 질환은 감염 부위에 따라 크게 상기도감염과 하기도감염으로 나뉜다. 상기도는 성대에서 입과 코까지 연결하는 모든 구조물을 의미하며,[18] 하기도는 기관, 기관지, 폐 등 공기가 폐포까지 도달하는 경로를 의미한다. 가장 흔한 상기도감염은 감기이며, 가장 흔한 하기도감염은 폐렴이다.2. 1. 1. 상기도 질환
상기도는 코, 인두, 후두 등 공기가 폐로 들어가기 전까지의 경로를 의미하며, 이 부위에 발생하는 질환을 상기도 질환이라고 한다. 가장 흔한 상기도 감염은 감기이다.[18] 부비동염(축농증), 편도염, 중이염, 인두염, 후두염과 같이 상기도의 특정 기관 감염 또한 상기도 감염으로 간주된다.후두개염은 후두의 세균 감염으로, 생명을 위협하는 후두개의 붓기를 유발하며, 성인의 사망률은 7%, 어린이의 사망률은 1%이다.[9] 예방 접종에도 불구하고, 인플루엔자 균이 여전히 주요 원인이다. 또한, 연쇄상구균도 후두개염을 유발할 수 있다. 증상에는 침 흘림, 천명, 호흡 및 삼키기 어려움, 목소리 쉬는 증상 등이 있다.[10]
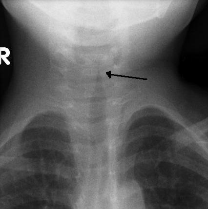
크룹(후두기관지염)은 성대의 바이러스 감염으로, 일반적으로 5~6일 지속된다. 주요 증상은 짖는 듯한 기침과 저열이다. X선 사진에서 크룹은 기관의 협착을 나타내는 "첨탑 징후"로 확인할 수 있다.

3개월에서 5세 사이의 어린이에게 겨울철에 가장 흔하게 발생한다. 세균에 의해 발생하는 심각한 형태는 세균성 기관지염이라고 한다.[11]
편도염은 세균이나 바이러스 감염으로 인한 편도의 부종이다. 이러한 염증은 기도 폐쇄로 이어질 수 있다. 편도염으로 인해 편도 주위 농양이 발생할 수 있는데, 이는 가장 흔한 상기도 감염이며 주로 젊은 성인에게 발생한다. 이는 한쪽 편도의 부기를 유발하여 목젖을 건강한 쪽으로 밀어낸다.[18] 진단은 일반적으로 증상과 검사를 기반으로 이루어진다. 증상으로는 일반적으로 발열, 인후통, 삼키기 어려움, 입안에 "뜨거운 감자"가 있는 것처럼 들리는 증상이 있다.[12]
2. 1. 2. 하기도 질환
기관지염, 기관지확장증, 폐렴, 결핵, 폐기종, 만성 폐쇄성 폐질환(COPD), 폐암 등은 주요 하기도 질환에 속한다. 하기도는 기관, 기관지, 폐 등 공기가 폐포까지 도달하는 경로를 의미하며, 이 부위에 발생하는 질환을 하기도 질환이라고 한다.[37]가장 흔한 하기도 감염은 폐렴이다.[13] 폐렴은 폐 조직에 염증이 생기는 질환으로, 세균, 바이러스, 진균 등 다양한 원인에 의해 발생할 수 있다. 특히 서구 국가에서는 ''폐렴 연쇄상구균''(Streptococcus pneumoniae)에 의한 세균성 폐렴이 흔하다. 전 세계적으로 결핵은 폐렴의 중요한 원인이다. 중증급성호흡기증후군, 코로나19, 폐포자충 폐렴 등도 폐렴을 유발할 수 있다. 폐렴은 폐농양(감염으로 인해 폐에 생기는 둥근 구멍)과 같은 합병증을 일으키거나 흉강으로 퍼질 수 있다.[13]
결핵은 결핵균에 의해 발생하는 만성 감염성 질환으로, 주로 폐를 침범하지만 다른 장기에도 영향을 미칠 수 있다.
원발성 섬모 운동 이상증은 섬모의 운동 장애로 인해 만성 호흡기 감염, 기침, 비충혈 등이 발생하는 유전 질환이며, 기관지 확장증으로 이어질 수 있다.[15] 기관지 확장증은 생명을 위협하는 호흡 문제를 일으킬 수 있다.
잇몸 질환의 박테리아가 기도를 통해 폐로 이동할 수 있기 때문에 열악한 구강 관리는 하기도 질환의 원인이 될 수 있다.[40][41][13][14]
2. 2. 원인에 따른 분류
호흡기 질환은 감염, 알레르기, 환경적 요인 등 다양한 원인에 의해 발생할 수 있다.2. 2. 1. 감염성 질환
감염은 호흡기의 모든 부분에 영향을 줄 수 있으며, 감염 부위에 따라 상기도감염과 하기도감염으로 나뉜다.[40][41]가장 흔한 상기도감염은 감기이다. 부비동염, 편도선염, 중이염, 인두염, 후두염과 같은 상부 호흡기의 특정 기관 감염도 상기도 감염으로 간주된다.
가장 흔한 하기도감염은 폐렴이다. 전 세계적으로 결핵은 폐렴의 주요 원인이다. 바이러스나 진균과 같은 기타 병원체는 중증 급성 호흡기 증후군, COVID-19, 폐포자충 폐렴 등의 폐렴을 유발할 수 있다. 폐렴은 폐 농양, 감염으로 인한 폐의 둥근 구멍과 같은 합병증을 일으키거나 흉강으로 퍼질 수 있다.
열악한 구강 관리는 잇몸 질환의 박테리아가 기도를 통해 폐로 이동할 수 있기 때문에 하기도 질환의 원인이 될 수 있다.[40][41]
2. 2. 2. 알레르기성 질환
알레르기성 호흡기 질환은 특정 알레르겐(항원)에 대한 과민반응으로 인해 발생한다. 대표적인 알레르기성 호흡기 질환에는 알레르기성 비염, 천식, 과민성폐렴 등이 있다.2. 2. 3. 환경적 요인에 의한 질환
흡연, 대기 오염, 직업적 노출 등 환경적 요인은 호흡기 질환 발생 위험을 높인다. 흡연은 만성 폐쇄성 폐질환(COPD), 폐암 등 다양한 호흡기 질환의 주요 원인이다. 미세먼지, 황사 등 대기 오염은 호흡기 질환을 악화시키고 폐 기능을 저하시킬 수 있다. 직업적으로 특정 유해 물질에 노출되는 경우 진폐증, 폐암 등 직업성 호흡기 질환이 발생할 수 있다.2. 3. 병태 생리에 따른 분류
호흡기 질환은 병태 생리에 따라 크게 폐쇄성 폐질환, 제한성 폐질환, 폐혈관 질환으로 분류할 수 있다.폐쇄성 폐질환은 천식, 만성 기관지염, 기관지확장증, 만성 폐쇄성 폐질환(COPD)과 같이 기도 폐쇄를 특징으로 하며, 기관지 수축으로 인해 허파꽈리로 들어가는 공기의 양이 줄어든다. 확산성 범세기관지염은 동아시아인에게서 주로 발생하는 폐쇄성 폐질환으로, 세기관지에 만성적인 염증이 발생한다.
제한성 폐질환은 폐순응도 상실로 인한 폐 경직을 특징으로 하며, 간질성 폐렴, 진폐증, 무기폐, 폐부종 등이 이에 해당한다.
폐혈관 질환은 폐순환에 영향을 미치는 질환으로, 폐색전증, 폐동맥 고혈압, 폐부종, 폐출혈 등이 있다.
2. 3. 1. 폐쇄성 폐질환
천식, 만성 기관지염, 기관지확장증, 만성 폐쇄성 폐질환(COPD)은 기도 폐쇄를 특징으로 하는 폐쇄성 폐질환이다. 이 질환들은 모두 염증으로 인한 기관지 수축으로 인해 허파꽈리(폐포)로 들어갈 수 있는 공기의 양이 줄어들게 한다.[37] 폐쇄성 폐질환은 폐활량 검사와 같은 폐 기능 검사를 통해 증상을 확인하는 방식으로 주로 진단한다.[37]많은 폐쇄성 폐질환은 집먼지진드기 또는 흡연 등의 유발인자를 피하고, 기관지확장제 등의 대증 약물, 또는 심한 경우에는 코르티코스테로이드 등의 항염제로 관리한다.[37] 폐기종 및 만성 기관지염 등 COPD의 흔한 원인 중 하나는 흡연이며, 기관지확장증의 일반적인 원인에는 중증 감염 및 낭포성 섬유증이 있다. 천식의 정확한 원인은 아직 알려져 있지 않다.[37]
확산성 범세기관지염은 동아시아인에게서 주로 발생하는 폐쇄성 폐질환으로, 세기관지에 만성적인 염증이 발생한다.
2. 3. 2. 제한성 폐질환
제한성 폐질환은 폐순응도 상실로 인한 폐 경직을 특징으로 하는 호흡기 질환의 일종이다.[38] 폐의 탄력성 저하를 특징으로 하며, 폐 확장이 불완전하고 폐 경직도가 증가한다.[5]제한성 폐질환은 원인에 따라 내인성과 외인성으로 나눌 수 있다.[6] 내인성 제한성 폐질환은 염증이나 독소에 의한 조직괴사와 같이 폐 자체 내에서 발생한다. 반면, 외인성 제한성 폐질환은 신경근육 질환이나 불규칙적인 흉곽 운동과 같이 폐 외부에서 기인하는 질환으로 인해 발생한다.[6]
2. 3. 3. 폐혈관 질환
폐순환에 영향을 미치는 질환이다.[42] 주요 질환은 다음과 같다.- 폐색전증: 정맥에서 형성되는 혈전이 떨어져 나가 심장을 통해 이동하여 폐에 체류하는 질환(혈전색전증)이다. 큰 폐색전증은 치명적이며 급사를 일으킨다. 다른 물질도 폐로 색전증(혈류를 통해 이동)을 할 수 있지만 훨씬 더 드물다. 지방색전증 (특히 뼈 손상 후), 양수 색전증(분만 및 분만의 합병증 포함), 공기 색전증(의원성 – 침습적 의료 절차로 인해 발생) 등이 있다.
- 폐동맥 고혈압: 폐동맥의 압력이 상승하는 질환이다. 가장 흔하게는 특발성(원인 불명)이지만 다른 질병, 특히 만성 폐쇄성 폐질환(COPD)의 영향으로 인해 발생할 수 있다. 이것은 폐심장(우심부전)으로 알려진 상태인 심장의 오른쪽에 긴장을 유발할 수 있다.
- 폐부종: 폐의 모세혈관에서 폐포(또는 공기 공간)로 체액이 누출되는 질환이다. 일반적으로 울혈성 심부전으로 인해 발생한다.
- 폐 출혈: 염증 및 폐의 모세혈관 손상으로 인해 혈액이 폐포로 누출되는 질환이다. 이로 인해 피를 토할 수 있다. 폐출혈은 다발혈관염을 동반한 육아종증 및 굿파스처 증후군과 같은 자가면역 질환으로 인해 발생할 수 있다.
3. 종양
호흡기계 종양은 양성 종양과 악성 종양으로 나눌 수 있다. 악성 종양 중 폐의 원발성 암종은 모든 암 진단의 15%, 암 사망의 30%를 차지하는 주요 건강 문제이며, 대부분 흡연으로 인해 발생한다. 양성 종양은 비교적 드물게 발생하며, 폐과종, 폐 격리증, 선천성 낭성 선종 기형 등이 있다.
3. 1. 악성 종양
호흡기의 악성 종양, 특히 폐의 원발성 암종은 모든 암 진단의 15%와 모든 암 사망의 30%를 차지하는 주요 건강 문제이다. 호흡기계 암의 대부분은 흡연에 기인한다.호흡기계 암의 주요 조직학적 유형은 다음과 같다.
또한 많은 암이 혈류를 통해 퍼지고 전체 심박출량이 폐를 통과하기 때문에 폐로 암 전이가 일반적으로 일어난다. 유방암은 국소 확산과 림프절 전이를 통해 직접 침범할 수 있다. 간으로 전이된 후 결장암은 종종 폐로 전이된다. 전립선암, 생식세포암 및 신세포암도 폐로 전이될 수 있다.
호흡기계 암의 치료는 암의 유형에 따라 다르다. 화학 요법 및 방사선 요법과 함께 폐 일부의 외과적 제거(폐엽 절제술, 구역절제술 또는 쐐기 절제술) 또는 전체 폐 절제술이 모두 사용된다. 폐암 생존 확률은 암이 진단된 당시의 암 병기와 조직학에 따라 어느 정도 좌우되며 전체적으로 약 14-17%에 불과하다. 폐로 전이된 경우 치료는 때때로 완치될 수 있지만 특정한 드문 상황에서만 가능하다.
3. 2. 양성 종양
호흡기계 양성 종양은 드물게 발생한다. 양성 종양의 예는 다음과 같다.- 폐과종
- 폐 격리증 및 선천성 낭성 선종 기형(CCAM)과 같은 선천성 기형.
4. 흉막 질환
흉막 중피종(pleural mesothelioma)은 흉막강 질환의 하나이다.
흉막 삼출(pleural effusion)은 흉막강에 체액이 고이는 것이다.[16] 이는 울혈성 심부전이나 간경변과 같은 질환으로 인해 혈류에서 흉막강으로 체액이 이동하기 때문일 수 있다.[16] 또한 감염, 폐색전증(pulmonary embolus), 결핵, 중피종 및 기타 질환에서 발생할 수 있는 흉막 자체의 염증 때문일 수도 있다.[16]
기흉(pneumothorax)은 폐를 덮고 있는 흉막에 구멍이 생겨 폐의 공기가 흉막강으로 빠져나가는 것이다. 영향을 받은 폐는 바람 빠진 풍선처럼 "움츠러든다". 긴장성 기흉(tension pneumothorax)은 흉막강의 공기가 빠져나가지 못하는 특히 심각한 형태의 질환으로, 기흉이 계속 커져 심장과 혈관을 압박하여 생명을 위협하는 상황으로 이어진다.
5. 신생아 호흡기 질환
신생아 호흡곤란 증후군은 미국에서 모든 출생의 약 1%에서 출생 후 6시간 이내에 가장 흔하게 발생한다.[18] 주요 위험 요인은 미숙아이며, 750g 미만의 영아에서 발생 가능성은 최대 71%까지 증가한다.[19] 다른 위험 요인으로는 당뇨병 산모의 영아(IDM), 분만 방법, 태아 질식, 유전학, 막의 장기 파열(PROM), 임신 중독증, 융모 양막염, 남성 성별이 있다. 호흡곤란 증후군의 널리 받아들여지는 병태생리는 불충분한 폐활량소 생성과 미숙한 폐 및 혈관 발달로 인해 발생한다는 것이다. 폐활량소 부족으로 인해 폐가 무기폐가 되어 환기/관류 불일치, 감소된 폐순응도 및 증가된 기도 저항이 발생한다. 이로 인해 저산소증과 호흡성 산증이 발생하여 폐 고혈압으로 이어질 수 있다. X선 사진에서 ground glass appearance(모래알 유리 모양)을 보인다. 증상으로는 빈호흡, 비강 확장, 역설적 흉부 운동, 그렁거림 및 늑골 하부 함몰이 포함될 수 있다.[18]
기관지폐 이형성증은 출생 후, 일반적으로 인공 호흡기와 산소 사용으로 발생하는 질환이다. 거의 전적으로 미숙아에게서 발생하며, 폐포와 폐 혈관이 염증을 일으키고 손상되는 것을 특징으로 한다. BPD의 합병증은 성인기에도 환자를 따라갈 수 있다. 어린 시절에는 학습 장애, 폐 고혈압 및 청력 문제가 발생할 수 있으며, 성인이 되면 천식과 운동 불내성의 가능성이 증가한다.[20]
태변흡인증후군은 태변을 흡인한 만삭아 또는 과숙아에게서 발생한다. 위험 요인으로는 당뇨병 산모, 태아 저산소증, 급속 분만 및 모체 고혈압이 있다.[21] 진단은 분만 시 태변이 묻은 양수와 피부, 손톱 및 제대에 묻은 태변을 기준으로 한다. 흡인은 기도 폐쇄, 공기 가두기, 폐렴, 폐 염증 및 비활성화된 폐활량소를 유발할 수 있다. X선 사진에서 부분적인 무기폐와 과팽창이 나타나며, 기흉 또는 기종격증이 발생할 수도 있다.[18]
신생아 지속성 폐 고혈압(PPHN)은 자궁외 생활로의 비정상적인 전이로 인해 발생하는 증후군이다. 폐혈관 저항 증가와 혈관 수축을 특징으로 하며, 난원공 또는 동맥관을 통해 혈액의 우에서 좌로의 분류를 유발한다.[18] PPHN의 세 가지 주요 원인은 태변흡인증후군과 같은 실질성 질환, 특발성 및 횡격막 탈장과 같은 저형성 혈관이다. 대부분의 영아에서 결국 회복된다.[22] 이는 FDA가 흡입성 일산화질소를 승인한 유일한 증후군이다.[23]
신생아 일과성 빈호흡은 폐에 폐포 액체가 정체되어 발생한다. 일반적으로 분만 전 진통 없이 제왕절개를 통해 분만된 영아에게서 발생하는데, 이는 폐에서 양수의 흡수가 아직 시작되지 않았기 때문이다. 다른 위험 요인으로는 남성 성별, 거대아, 다태임신 및 모체 천식이 있다. 일반적으로 빈호흡과 호흡 노력 증가로 나타난다. X선 사진에서 확산성 침윤, 엽간 열 및 때때로 흉막 삼출액이 관찰될 수 있다. 다른 질병과 유사하기 때문에 배제 진단이며, 종종 CPAP가 폐 액체를 폐 혈관으로 밀어내는 데 사용된다.[18][24]
폐간질 기종은 과팽창된 폐포에서 폐 간질로 공기가 빠져나가는 상태이다. 성인에게서도 나타날 수 있지만, 대부분 미숙아에게서 발생하는 드문 질환이다.[25] 종종 증가된 인공 호흡 지원이 필요한 느린 악화로 나타납니다. 흉부 X선 사진은 진단을 위한 표준이며, 폐 가장자리까지 확장되는 선형 또는 낭포성 투과성으로 나타난다.[18]
세기관지염은 세기관지의 부기와 점액 축적으로 나타난다. 일반적으로 감염된 사람의 코나 목의 체액을 영아가 만질 때 퍼지는 호흡기 세포융합 바이러스(RSV)에 의해 발생한다.[26] 바이러스는 세포를 감염시켜 섬모 기능 장애와 세포 사멸을 유발한다. 잔해, 부종 및 염증은 결국 증상으로 이어집니다.[27] 만 1세 미만의 어린이의 입원의 가장 흔한 원인이다. 경미한 호흡기 감염부터 호흡 부전까지 다양하게 나타날 수 있다. 질병을 치료하는 약물이 없으므로 수액 및 산소를 이용하여 지지적으로만 관리한다.[28]
6. 호흡기 질환의 진단
호흡기 질환은 다음 검사들 중 하나 이상을 수행하여 진단할 수 있다.
7. 호흡기 질환의 역학
호흡기 질환은 전 세계적으로 질병과 사망의 흔하고 중요한 원인이다. 미국에서는 매년 약 10억 건의 감기가 발생한다.[43] 한 연구에 따르면, 2010년 미국의 18세 미만 환자 중 호흡기 질환으로 응급실을 방문한 경우가 약 680만 건이었다.[44] 2012년 호흡기 질환은 어린이들의 입원 사유 중 가장 빈번했다.[45]
영국에서는 약 7명 중 1명이 만성 폐쇄성 폐질환(천식, 만성 기관지염, 폐기종 포함)의 영향을 받는다.[32] 호흡기 질환(폐암 포함)은 캐나다의 입원 환자의 10% 이상과 사망자의 16% 이상을 차지한다.[33] 2011년 미국에서는 인공호흡기 지원이 필요한 호흡기 질환이 중환자실(ICU) 이용률의 93.3%를 차지했다.[34]
8. 기타 기능적 호흡 장애
수면무호흡증은 수면 중 상기도가 반복적으로 폐쇄되어 호흡이 일시적으로 멈추거나 얕아지는 질환이다.
참조
[1]
웹사이트
Lung diseases
https://meshb.nlm.ni[...]
2019-08-14
[2]
논문
Lung sound classification using cepstral-based statistical features
2016-08-00
[3]
논문
COVID-19 and vascular disease
2020-08-00
[4]
서적
Davidson's Principles and Practice of Medicine
Elsevier Health Sciences
2014-00-00
[5]
웹사이트
Restrictive Lung Disease
http://www.emedicine[...]
2008-04-19
[6]
서적
StatPearls
http://www.ncbi.nlm.[...]
StatPearls Publishing
2020-12-04
[7]
웹사이트
Chronic respiratory diseases (CRDs)
https://www.who.int/[...]
2020-10-05
[8]
논문
Telerehabilitation for chronic respiratory disease
2021-01-00
[9]
논문
Acute epiglottitis in adults: an under-recognized and life-threatening condition
https://pubmed.ncbi.[...]
2022-05-16
[10]
웹사이트
Epiglottitis
https://www.nhs.uk/c[...]
2022-05-16
[11]
웹사이트
Croup: MedlinePlus Medical Encyclopedia
https://medlineplus.[...]
2022-05-16
[12]
논문
Peritonsillar Abscess
https://www.aafp.org[...]
2022-05-16
[13]
웹사이트
Respiratory Disease & Oral Health
https://www.unitedco[...]
2015-01-19
[14]
논문
Respiratory disease and the role of oral bacteria
2010-12-00
[15]
웹사이트
Primary ciliary dyskinesia: MedlinePlus Genetics
https://medlineplus.[...]
2022-05-16
[16]
논문
Pleural effusion: diagnosis, treatment, and management
2012-06-22
[17]
웹사이트
Pulmonary Embolism
https://medlineplus.[...]
2022-03-22
[18]
서적
Neonatal and Pediatric Respiratory Care
Elsevier
[19]
논문
Trends in neonatal morbidity and mortality for very low birthweight infants
https://pubmed.ncbi.[...]
2022-05-06
[20]
웹사이트
Bronchopulmonary Dysplasia
https://www.lung.org[...]
2022-05-07
[21]
웹사이트
Meconium aspiration syndrome: MedlinePlus Medical Encyclopedia
https://medlineplus.[...]
2022-05-11
[22]
논문
Neonatal Pulmonary Hypertension
2010-03-00
[23]
웹사이트
INOmax
https://www.accessda[...]
2022-05-11
[24]
논문
Respiratory Distress in the Newborn
2014-00-00
[25]
서적
Pulmonary Interstitial Emphysema
http://www.ncbi.nlm.[...]
StatPearls Publishing
2022-05-14
[26]
웹사이트
Bronchiolitis: MedlinePlus Medical Encyclopedia
https://medlineplus.[...]
2022-05-14
[27]
서적
Bronchiolitis
http://www.ncbi.nlm.[...]
StatPearls Publishing
2022-05-14
[28]
논문
Bronchiolitis: Recommendations for diagnosis, monitoring and management of children one to 24 months of age
2014-00-00
[29]
웹사이트
National Institutes of Health – common cold
http://www3.niaid.ni[...]
2008-05-07
[30]
논문
Overview of Children in the Emergency Department, 2010
http://hcup-us.ahrq.[...]
Agency for Healthcare Research and Quality
2013-07-17
[31]
논문
Overview of Hospital Stays for Children in the United States, 2012
https://www.hcup-us.[...]
Agency for Healthcare Research and Quality
2015-04-06
[32]
웹사이트
What is COPD?
https://www.blf.org.[...]
2019-05-16
[33]
웹사이트
Public Health Agency of Canada – Centre for Chronic Disease Prevention and Control Chronic Respiratory Diseases
http://www.phac-aspc[...]
2008-05-06
[34]
논문
Utilization of Intensive Care Services, 2011
https://www.hcup-us.[...]
Agency for Healthcare Research and Quality
2015-04-06
[35]
논문
[36]
저널
COVID-19 and vascular disease
2020-08-00
[37]
서적
Davidson's Principles and Practice of Medicine
Elsevier Health Sciences
2014-00-00
[38]
서적
StatPearls
http://www.ncbi.nlm.[...]
StatPearls Publishing
2020-12-04
[39]
웹인용
Chronic respiratory diseases (CRDs)
https://www.who.int/[...]
[40]
웹인용
Respiratory Disease & Oral Health
https://www.unitedco[...]
2022-04-14
[41]
저널
Respiratory disease and the role of oral bacteria
2010-12-00
[42]
웹인용
Pulmonary Embolism
https://medlineplus.[...]
2022-03-22
[43]
웹인용
National Institutes of Health – common cold
https://web.archive.[...]
2008-05-07
[44]
저널
Overview of Children in the Emergency Department, 2010
http://hcup-us.ahrq.[...]
2013-05-00
[45]
웹인용
Overview of Hospital Stays for Children in the United States, 2012
https://www.hcup-us.[...]
Agency for Healthcare Research and Quality
2014-12-00
본 사이트는 AI가 위키백과와 뉴스 기사,정부 간행물,학술 논문등을 바탕으로 정보를 가공하여 제공하는 백과사전형 서비스입니다.
모든 문서는 AI에 의해 자동 생성되며, CC BY-SA 4.0 라이선스에 따라 이용할 수 있습니다.
하지만, 위키백과나 뉴스 기사 자체에 오류, 부정확한 정보, 또는 가짜 뉴스가 포함될 수 있으며, AI는 이러한 내용을 완벽하게 걸러내지 못할 수 있습니다.
따라서 제공되는 정보에 일부 오류나 편향이 있을 수 있으므로, 중요한 정보는 반드시 다른 출처를 통해 교차 검증하시기 바랍니다.
문의하기 : help@durumis.com
